脉购健康管理系统(软件)包含:客户开卡、健康档案、问卷调查、问诊表、自动设置标签、自动随访、健康干预、健康调养、历年指标趋势分析、疾病风险评估、饮食/运动/心理健康建议、同步检查报告数据、随访记录、随访电话录音、健康阶段总结、打印健康报告等
标签:健康管理、健康管理软件、体检预约、体检商城、体检预约系统、健康管理系统、脉购健康管理系统、脉购健康管理软件、脉购体检商城软件/系统
听说过脑中风,可你听说过肠子也会中风吗?
还真会!
不久前,70多岁的刘奶奶突然出现腹痛、腹泻、血便,她以为是肠胃炎,就自己吃了氟哌酸、黄连素等药物,可是病情不但不显好转,反而症状越来越重。无奈,来到医院就诊。
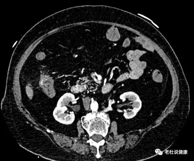
接诊医生安排做了腹部平扫CT、和腹部血管成像检查,结果发现老太太的结肠肝区肠壁明显增厚,周围渗出性改变,腹部多处血管严重狭窄;

结肠肝区肠壁明显增厚,周围渗出性改变

腹部多处血管严重狭窄
为进一步明确诊断,医生又为刘奶奶安排了肠镜检查。结果发现升结肠区管壁僵硬、管腔狭窄、糜烂出血,局部多发溃疡,覆白色粘液,血管网纹模糊;并见局部粘膜苍白、青紫;

最后确诊:缺血性肠病,也就是肠中风。
经过消化科医护的精准治疗和精心护理,刘奶奶很快腹痛消失,2周后复查肠镜,结肠缺血水肿明显减轻。
其实临床上像刘奶奶这样的患者并不少见,尤其是在夏天,对于中老年人,这种疾病更容易发生。
和脑中风有点相似,就是肠系膜血管狭窄、堵塞后,引起的肠壁缺血、缺氧,最终发生梗死的疾病。标准名字叫做“缺血性肠病”、或“缺血性肠炎”,简称IC。
多见于患动脉硬化,心功能不全的老年患者,因救治不及时死亡率较高。
腹痛、便血、腹泻是最常见的三个症状,被称为“三联征”。
其他少见的症状有恶心、呕吐、休克、腹胀、腹膜刺激征,仅表现为腹痛的病例容易误诊或漏诊,仅有直肠出血的患者预后更好,而有腹膜刺激征则预后不良,老年性IC可缺乏典型的临床表现而仅以腹泻为主要表现,此时更容易漏诊、延误治疗。
IC可引起众多并发症,如肠穿孔、腹膜炎、持续出血、蛋白丢失、肠腔狭窄、甚至死亡等。
由于该病容易误诊,因此死亡率并不低,重症患者的死亡率>50%。
2017年我们消化内科就遇到一例死亡病例。
一位75岁患者以“疑似肠梗阻”入院,内镜下发现整个左半结肠广泛溃疡、糜烂、出血、黏膜坏死脱落、血痂形成,考虑缺血性肠病。由于患者家属拒绝手术治疗,2 天后死亡。

肠中风在各肠段的发生比例
由于该病病情重,发展快,诊断及手术的及时与否直接决定着病人的预后,因此,消化内科医生始终要绷紧缺血性肠病这根弦,遇有腹痛的病人查因时要象先排除心梗一样常规排除一下缺血性肠病。
夏天出汗多,人体水分通过汗液大量蒸发,血液粘稠度升高,达到一定程度时,可出现血凝倾向,引起缺血或血管堵塞,从而诱发缺血性结肠炎。
如果老年人,特别是伴有高血压和动脉硬化的老年人,出现不明原因的腹痛,
特别是吃饭后就腹痛,过一段时间缓解,要警惕缺血性肠病,要及时到医院就诊。
比如,该病最先出现腹泻伴恶心、呕吐,早期无腹痛、便血,易误诊为急性胃肠炎;
出现黑便,易误诊为消化道溃疡伴出血;
肛门指检发现血染,易误诊为肛肠疾病;
腹痛+近期体重降低,易误诊为结肠恶性肿瘤……
上述情况的出现均与患者早期表现不典型有关。
临床上检查手段主要有:结肠镜、腹部钡餐、CT、数字减影血管造影等。
诊断要点为:
1.易发人群:50岁以上的老年人、便秘人群。
2.“三联征”,突然左侧下腹部痛(伴压痛),且持续疼痛、腹泻(水样)、便血(一过性)。
3.内视镜检查区域性可见以左侧结肠为中心,出现粘膜浮肿、糜烂、粘膜下出血、纵向溃疡等。
4.灌肠检查中可见拇指压痕像,纵向溃疡等。
本病患者大多有高血压病、冠心病、动脉硬化症、腹主动脉瘤、心力衰竭和心房颤动等疾病史。因此,要积极治疗原发疾病,控制血压、血糖以及血液黏滞度,避免缺血性肠病的发生;
拒绝吸烟,保持大便通畅,有学者研究发现IC患者中有习惯性便秘者占44.2% 。
规律生活作息,适当运动、多吃蔬菜水果,定期进行体检;
便秘患者不要用力排便;
出现不明原因的腹胀、腹痛、腹泻、血便等要立即就医。
本文来源:公众号胃肠病