脉购健康管理系统(软件)包含:客户开卡、健康档案、问卷调查、问诊表、自动设置标签、自动随访、健康干预、健康调养、历年指标趋势分析、疾病风险评估、饮食/运动/心理健康建议、同步检查报告数据、随访记录、随访电话录音、健康阶段总结、打印健康报告等
标签:健康管理、健康管理软件、体检预约、体检商城、体检预约系统、健康管理系统、脉购健康管理系统、脉购健康管理软件、脉购体检商城软件/系统
以下文章来源于医学界消化肝病频道 ,作者王建明
01
内镜设备的演变
最早的胃镜是德国人库斯莫尔在1868年借鉴江湖吞剑术发明的库斯莫尔管,它其实就是一根长金属管,末端装有镜子。但因为这种胃镜容易戳破患者食道,因此不久就废弃了。1932年,Wolf和Schindler共同研制成功半可曲式胃镜,能观察到大部分胃黏膜,为胃镜的发展奠定了基础。

胃镜的雏形—硬质胃镜
1950年,日本医生宇治达郎成功发明软式胃镜的雏形——胃内照相机。1957年,美国HirschoWitz研制成了第一台纤维胃镜,利用冷光源和光导纤维进行传像。1984年Olympus 公司推出大钳孔全防水内镜系统,标志着纤维内镜的发展趋于成熟。

软式纤维胃镜
1983年美国Welch Allyn公司首先研制出电子内镜,通过CCD经光敏集成电路摄像系统,将图像清晰显示在监视器上并可通过电脑视频处理系统对图像储存、编辑和传输,使内镜的应用进入全新时代。

全新一代蓝激光内窥镜系统
1. 超声内镜系统
1980年美国首次报道应用超声与普通内镜相结合的检查方法在动物实验中取得成功,开创了超声内镜技术在临床的应用,此后超声内镜器械不断发展和完善。
目前,超声内镜检查以及镜下介入治疗是消化内镜领域发展最快的一个分支!

2. 胶囊内镜
最早由以色列开发研制,形如胶囊,属一次性用品,含有闪光装置和摄像传感器。吞服后通过整个消化道,所拍摄的图像经腹部的遥控接收器存于电脑加以分析。胶囊内镜则随粪便排出。胶囊内镜对小肠检查价值较大,患者痛苦少。
由中国学者发明的磁控胶囊内镜,可以实现全消化道的观察、诊断。

胶囊内镜

我国学者发明的磁控胶囊内镜
3. 放大内镜
1990年代,日本Olypus公司和Fujinon公司先后开发出放大内镜。其工作原理是在内镜头端接近目镜的地方安装可以移动的凸镜,能将局部病变黏膜放大10~100倍,可观察到胃小凹和结肠黏膜腺管开口的形态特征。放大内镜结合色素内镜技术,更有助于提高小癌灶、微小癌灶及异型增生的检出率。

4. 鼻胃镜
鼻胃镜插入部外径缩小(5.3-5.9mm),便于经鼻腔送入,明显减小了患者痛苦。标配注气和注水孔道,配superCCD,不影响观察效果。


经鼻胃镜检查不触碰呕吐反射部位,舒适度明显提高
5. 共聚焦内镜
将激光扫描共聚焦显微镜(La ser scanning confocal microscope,LSCM)整合于传统电子内镜的头端诞生了共聚焦内镜(confocal endoscope),能生成共聚焦显微图像。每一个合成图像大致可以代表组织标本的一个光学切面,可获得消化道实时组织病理学图像,被称为“光活检”或“虚拟活检”,其应用具有划时代意义。尤其在诊断Barrett 食管、上皮内瘤样变和早期癌、胶原性肠炎等疾病时,共聚焦内镜可以对可疑病变进行靶向活检,提高病变检出率。
6. 小肠镜
Fujinon公司和Olympus先后开发出双气囊小肠镜和单气囊小肠镜,使内镜进入了消化道检查的盲区——小肠。小肠镜的优点是可以镜下活检及治疗。

双气囊小肠镜
减轻患者检查痛苦:胶囊内镜、磁控胶囊内镜、鼻胃镜等;
提高消化道早癌诊断率:放大内镜色素内镜、共聚焦内镜等;
方便内镜下各种治疗:活检孔道≥3.2mm的胃镜、活检孔道≥3.8mm的结肠镜、内镜附送水系统、双活检孔道内镜、双关节内镜、十二指肠镜等等;
介入治疗方面:超声内镜下细针穿刺、引流、放置支架;
各种治疗附件的不断涌现使内镜下治疗向外科化方向发展:检查治疗设备飞速发展使得内镜下可以完成切割、闭合、穿刺、引流、止血、摘取、切开等手术。
内镜图像分析和诊断与人工智能结合:目前人工智能已经应用到内镜图像的实时分析判断上,主要的目的是提高对早癌的识别。
治疗附件包括:血管/软组织夹、异物钳(网篮)、电切割刀、穿刺针、消化道支架、引流管和营养管、圈套器及网篮、导丝、扩张球囊(探条)、缝合用尼龙绳、经皮胃造瘘套件等。
这些治疗附件均通过内镜活检孔道或导丝引导下到达消化道病变部位,直视或借助X线设备完成治疗。

高频电发生器,用于提供切割电流

ERCP使用的治疗附件

消化道支架

电切割刀

钛夹—用来封闭创面及止血

鼻胆引流管—引流胆汁用

鼻肠管—用于肠内营养
02
内镜诊断—无法取代的优势
消化内镜诊断用于以下两个方面:
各种消化道疾病的诊断
消化道疾病治疗效果的评估
1
各种消化道疾病的诊断
包括肿瘤、溃疡、出血、结石、结核、炎症、囊肿、异物、结构变异等等。直视下观察是消化内镜的最大优势,眼见为实!内镜下活检是内镜的另一大优势,对疾病的诊断起到决定性作用。
1. 消化道肿瘤
内镜可以明确诊断的消化道肿瘤有:食管癌、胃癌、结直肠癌、消化道的各种腺瘤、胰腺癌、胆管癌、胃肠间质瘤(GIST)、神经内分泌肿瘤(NET)、平滑肌瘤、淋巴瘤等等。
消化道肿瘤占人体所有肿瘤的半数以上,内镜+活检病理是诊断消化道肿瘤的首选方法,而且多数情况下也是唯一方法。通过内镜诊断消化道肿瘤的优势在于:图像清晰、直观、可以获得病理证据、便捷。临床上还可以采用诊断性切除的方法来获得较完整的病理标本。
内镜不能直视的消化道脏器,可以通过超声内镜引导穿刺的方法活动病理组织。
消化内镜应用于临床之前,诊断食管、胃、结直肠肿瘤几乎都靠X线造影来确定,敏感性及特异性低。因为消化道造影只能看到中晚期消化道(食管、胃、结直肠)恶性肿瘤。
CT和MRI对食管、胃以及结直肠癌的诊断方面可以起到一定的补充作用,但仅限于中晚期肿瘤的诊断。(CT、MRI的优势在消化道实质性器官疾病的诊断上)

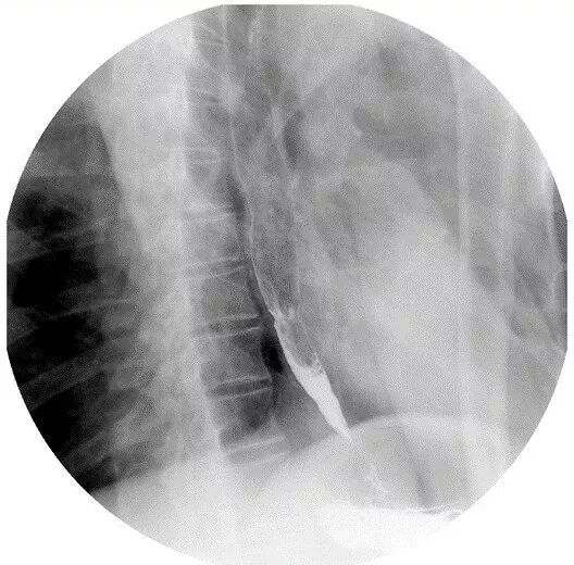
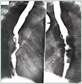
上消化道造影见晚期食管癌

上消化道造影见晚期胃癌
例1:早期食管癌
消化内镜能直视消化道内的恶性肿瘤,还可以通过放大及电子染色技术,发现早期消化道癌症。这更是其他检查手段无法企及的!
食管粘膜平坦,局部充血
电子染色见病灶处呈现茶褐色改变,IPCL扩大迂曲
复方碘染色
从上面3幅图片看到:食管黏膜轻度充血,并无隆起或肿块。经电子染色及放大观察提示食管高级别上皮内瘤变(早癌),化学染色更容易观察病灶边界。
例2:早期胃癌

胃窦糜烂灶

例3:早期直肠癌

直肠扁平隆起早,颗粒结节样

蓝激光放大观察见腺管呈脑回样,大小不一,排列紊乱,诊断为腺瘤。ESD病理报局部高级别上皮内瘤变。
对于晚期消化道肿瘤,内镜不仅能直观地发现病灶,还可以获得病理资料,指导后续治疗。
例4:晚期贲门癌
例5:结肠癌伴梗阻
例6:小肠癌伴梗阻
例7:晚期食管癌伴不全梗阻
例8:晚期胃窦癌伴幽门梗阻
例9:乙状结肠神经内分泌肿瘤(G2)——ESD切除术后病理证实,随访3年,未见复发。
例10:胃间质瘤(外科手术证实)
例11:直肠神经内分泌肿瘤ESD病理证实
2. 超声内镜下介入诊断术(EUS--FNA)
通过超声内镜引导,细针穿刺活检,可以明确胰腺癌/胰腺炎的诊断。替代了以前通过腹部影像学观察诊断胰腺肿瘤的方法,准确、快速。EUS—FNA还可以诊断消化道黏膜下肿物,如间质瘤等。另外,EUS—FNA还可以穿刺引流胰腺囊肿、完成内镜下胃空场造瘘。


3. 消化道出血
消化道出血是内科急症,死亡率高。消化内镜是明确消化道出血部位的首选方法。消化道出血分上消化道、中消化道及下消化道出血。胃镜、胶囊内镜、小肠镜以及结肠镜检查可以明确绝大多数的出血原因。
例1:胃溃疡出血

例2:食管静脉曲张出血
4. 胆管结石
胆管结石属于多发病,可以导致感染性休克、肝功能损害以及急性胰腺炎等并发症。超声内镜以及十二指肠镜下逆行胰胆管造影可以明确诊断。(体表超声探查对胆总管结石诊断阳性率低)


5. 其他消化道疾病
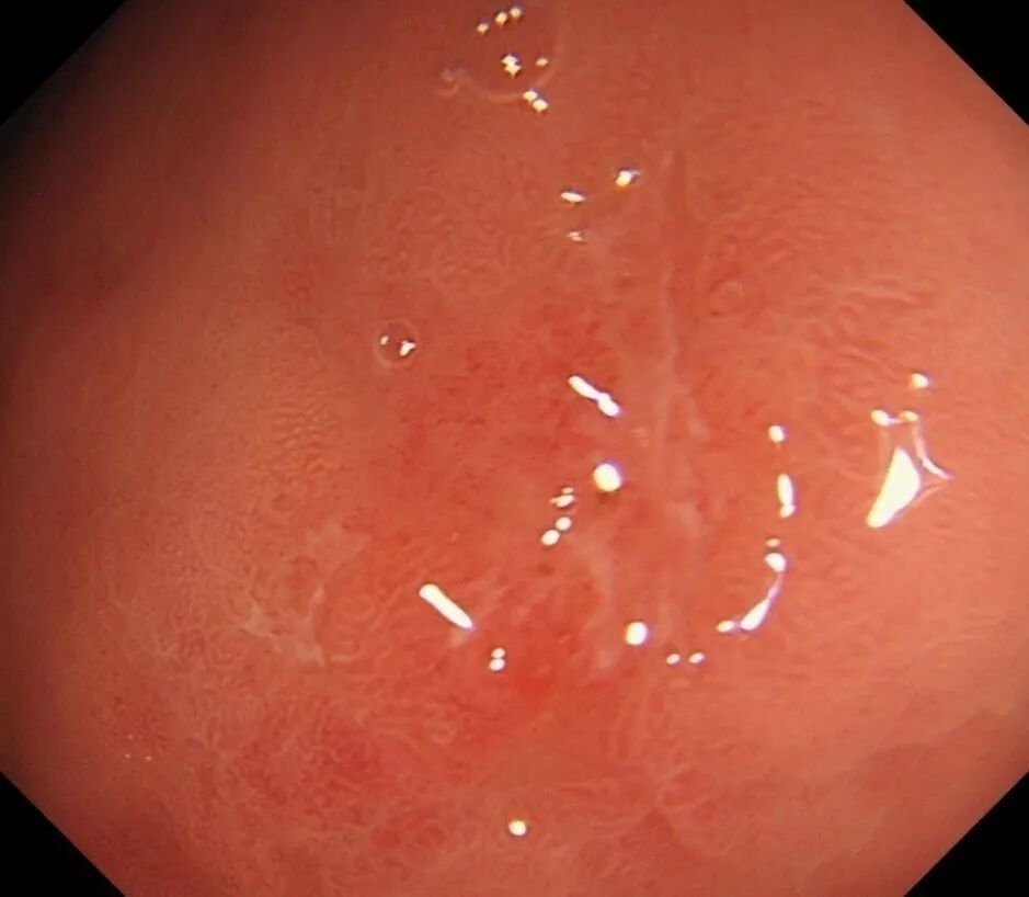
例1:胃溃疡

例2:食管异物

例3:溃疡性结肠炎——可见结肠广泛的充血、糜烂,局部溃疡形成
例4:十二指肠降部乳头旁憩室(胆总管结石好发因素)
6. 食管静脉曲张
内镜下可以看到食管内迂曲的曲张静脉,呈串珠样,红色征阳性,另一张图片见曲张静脉上血栓头,是再出血的高危因素。

2
内镜检查评估消化道疾病治疗效果
比如手术切除效果、有否局部复发、溃疡及炎症消退与否、出血停止与否、曲张静脉血管的形态变化等等。
03
内镜下治疗—无孔不入
内镜下治疗大体分为以下几类:
1. 止血
消化道出血分为静脉曲张出血及非静脉曲张出血。常见原因包括:门脉高压症、溃疡病、消化道肿瘤、急性胃黏膜病变、炎症性肠病等。少见的原因有血管畸形、憩室、结石、外伤、寄生虫等。
例1:内镜下硬化及组织黏合剂栓塞术是急性食管胃静脉曲张出血(EGVB)的一线治疗方法。
静脉曲张喷射样出血,急诊内镜下硬化+组织胶栓塞术
例2:食管活检后出血,休克患者,由外院转入。

急诊胃镜下钛夹封闭止血术
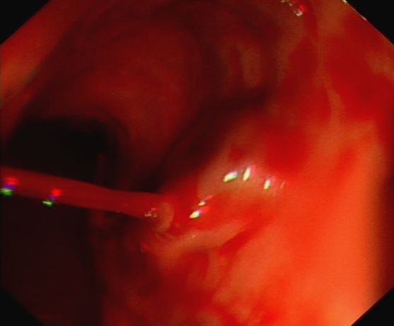
例3:直肠占位并出血、休克患者。
急诊内镜下创面荷包缝合止血术
2. 切除
内镜下切除经历了较长时间的发展,目前到达无孔不入的境界。可以切除的病变包括:息肉、早期胃癌、早期结直肠癌、腺瘤、胃肠间质瘤、平滑肌瘤、脂肪瘤、神经内分泌肿瘤,甚至是胆囊息肉和阑尾。
常用方法有内镜下黏膜切除术(EMR)、内镜黏膜下剥离术(ESD)、内镜下消化道全层切除术、内镜经黏膜下隧道肿瘤切除术(STER)等。
例1:结肠侧向发育肿瘤,EMR

例2:直肠侧向发育肿瘤伴高级别瘤变,ESD
例3:食管平滑肌瘤,STER
例4:胃间质瘤——行胃全层切除术+荷包缝合术
3. 支撑和扩张
使用在消化道狭窄、梗阻的患者,如:食管癌、吻合口狭窄、胆管癌、结直肠癌伴梗阻患者。
例1:横结肠癌合并梗阻,肠道支架置入缓解梗阻

4. 摘取 消化道异物、胆管结石等
例1:食管枣核内镜下摘取

例2:胆总管结石ERCP术摘取
5. 引流
如引流胆汁、肠液等等。对于胆道梗阻患者,可以安放胆管支架,也可以放置鼻胆引流管治疗。对于肠梗阻患者,可以放置肠梗阻导管引流。
EUS—FNA下可以放置引流管或支架对胰腺囊肿患者进行引流,将囊液引流到胃或十二指肠。
急性阑尾炎患者,可以在结肠镜下放置阑尾支架进行引流,缓解症状。
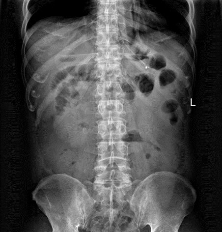
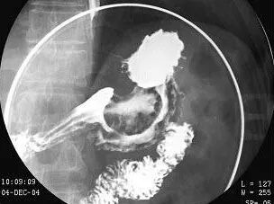
例1:老年患者,膀胱结石手术后4天,急性肠梗阻,腹痛腹胀明显,胃肠减压、灌肠无效。结肠镜检查未见大肠异常。既往有慢阻肺、心功能不全,手术风险极大。

放置肠梗阻导管,腹痛腹胀消失。后拔除肠梗阻导管,痊愈出院。
随访近两年,患者健在,未再发生类似症状。
6. 造口
经皮内窥镜下胃造口术,已经基本替代手术造口。超声内镜引导下的胃空肠造瘘术已经有多家医院报道,成功实施于临床上胃流出道梗阻患者,避免了开腹手术。

7. 切开和松解—用于部分狭窄或痉挛性疾病
比如:内镜下放射状切开术治疗食管吻合口狭窄、经口内镜下肌切开术(POEM)治疗贲门失弛缓症、经口幽门肌切开术(POP)治疗胃轻瘫等等,都取得了非常好的效果。
例1:贲门失弛缓患者,经口内镜下肌切开术治疗,效果好。

由消化道黏膜层病变的切除,发展到黏膜下层、固有肌层,甚至浆膜层病灶的切除。
由消化道(食管和胃肠道)疾病的治疗,发展到消化腺(肝胆和胰腺)疾病的治疗。
经由消化道进入胸腹腔,进行引流、切除、活检、探查、神经节破坏等手术。经自然腔道手术,即NOTES,今后将大行其道!
撰文|王建明 阳泉煤业集团总医院
首发|医学界消化肝病频道
编辑|老杜 laodu-shazi