脉购健康管理系统(软件)包含:客户开卡、健康档案、问卷调查、问诊表、自动设置标签、自动随访、健康干预、健康调养、历年指标趋势分析、疾病风险评估、饮食/运动/心理健康建议、同步检查报告数据、随访记录、随访电话录音、健康阶段总结、打印健康报告等
标签:健康管理、健康管理软件、体检预约、体检商城、体检预约系统、健康管理系统、脉购健康管理系统、脉购健康管理软件、脉购体检商城软件/系统
来源:医学界急诊与重症频道 作者:CHENG KT
一起学习。
心血管疾病是长跑运动后胸痛常见的始作俑者。然而,对于以下Pasternak A等人在BMJ Case Rep杂志中报道的这位超长程跑步运动员,其突发胸痛的原因可能让你大惊失色。
病例介绍
这是一位首次参加100英里超级马拉松赛事的37岁男性运动员。长途跋涉后,当离开赛事常设的中途救援站几百米后,这位运动员准备吞下一颗非处方类非甾体抗炎药以用于临时止痛时,患者突然出现恶心、呕吐,最终将药物吐出。
然而,呕吐时患者突发严重左侧胸痛和右上腹痛,伴呼吸困难。患者感觉疼痛程度与肋骨骨折相似,平卧可致其胸痛明显加重。
现场救援站医疗人员为患者测量的生命体征正常,血氧饱和度95%。医疗人员启动了紧急医疗服务,将患者送往就近的急诊室。
急诊医生复查生命体征为:呼吸22次/min,脉率77次/min,血氧饱和度93%。心电图检查无异常。
血液检查:白细胞计数升至17.8 ×109/L,伴中性粒细胞核左移。尿素氮、肌酐分别升高至50 mg/dl、203.3μmol/l,CK 5349U/L,BNP轻度升至614 pg/dL。肌钙蛋白I轻度升高至0.09ng/mL,d-二聚体升至598 ng/mL(住院复查时恢复正常)。
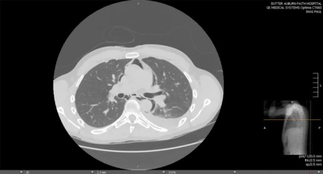
影像学检查:胸片示左肺底大片浸润影,伴有纵隔气肿和散在软组织内气体影,但无明显胸腔积液、气胸或肺水肿的征象。平扫CT检查(因肾功能不全未行增强CT)显示弥漫性纵隔气肿,气体延至双侧上胸部和颈部,伴左下肺实变影和双侧少量胸腔积液(如下图所示)。

图1 胸部CT示纵隔气肿和左侧胸腔积液
发病后大约12小时,上消化道造影发现患者的远端食管左侧穿孔,伴造影剂渗漏至纵隔,如下图所示。

图2 上消化道造影可见食管管腔外和左侧膈肌周围造影剂渗漏
最终诊断:Boerhaave综合征。
不幸的是,患者接受一系列急诊手术后仍有持续性食管瘘,在医生提供食管支架置入术与保守治疗的知情同意后,患者选择了保守治疗。数周后,食管瘘逐渐闭合。1个月后复查胃镜,结果显示食管穿孔完全愈合。3个月后,患者恢复正常饮食,且已经重新回到路跑的生活中。
Boerhaave综合征的临床表现
Boerhaave综合征又称为自发性食管破裂,主要发病机制在于食管内压突然增加而导致食管破裂。1724年荷兰医生Hermann Boerhaave首次描述了这种罕见但可致命的疾病。
高达96%的超长程跑步运动员在比赛中会出现胃肠道不适,但文献中尚无与之相关的Boerhaave综合征的相关报道。
Boerhaave综合征的患者中,男性比女性更为常见,通常累及40岁-60岁酗酒和暴饮暴食的男性。只有5%的Boerhaave综合征发生于无潜在病因的健康人群,其他患者可能在食管炎或食管溃疡的基础上发病。
Boerhaave综合征患者最常见的表现为剧烈呕吐后严重胸痛,一部分患者可出现Mackler三联征,即呕吐、胸痛、皮下气肿。
除了呕吐,其他原因包括举重、排便、癫痫发作、腹部创伤和分娩,这些因素均可能增加食管内压力。
食管破裂通常发生在食道远端1/3的左侧。其他症状包括呼吸困难、声音改变、吞咽困难和皮下气肿。
Boerhaave综合征的诊断与鉴别诊断
81%-90%的Boerhaave综合征患者可见胸片异常,后者有助于明确诊断,但食管穿孔后6小时内,10-33%的患者胸片检查正常。
使用水溶性造影剂进行上消化道造影是诊断的有力武器。尽管钡剂在显示小穿孔方面更有优势,但钡剂外渗可导致纵隔炎和纤维化,因此不建议使用钡剂造影。增强CT比上消化道造影对诊断更具敏感性。尽管食管镜的敏感度接近100%,但检查过程中注入气体可能导致撕裂口增大而进一步加重食管穿孔,应谨慎使用。
鉴别诊断方面,临床上主要基于急性突发严重胸痛或上腹痛进行鉴别,包括急性心肌梗死、肋骨骨折、气胸、肺栓塞、主动脉瘤破裂、主动脉瘤夹层、膈肌破裂、急性胰腺炎、消化性溃疡伴穿孔等。
Boerhaave综合征的治疗
以往Boerhaave综合征患者的死亡率高达80%。直到1947年外科手术成功治疗Boerhaave综合征的报道面世,才使这种疾病的死亡率明显下降至2%-20%。
在发病后12-24小时内诊断出来的食管穿孔,预后最佳。然而,当诊断时间延迟至发病后24小时,死亡率翻一番。
因此早期识别、诊断是患者获得早期治疗的关键,早期诊断则预后较好。初步治疗包括液体复苏、静脉注射抗生素和/或抗真菌药物。除了外科手术是根治方法,现今内镜下植入食管支架、食管钳、凝胶修补食管破裂口等新型治疗手段具有很大的潜力。
综上所述,Boerhaave综合征是一种主要由剧烈呕吐诱发的自发性食管破裂。尽管这种疾病相对罕见,但可给患者带来致命一击。早期诊断和早期治疗有利于改善患者的预后。
参考文献:
[1]Pasternak A, Ellero J, Maxwell S, Cheung V. Boerhaave"s syndrome in an ultra-distance runner. BMJ Case Rep. 2019 Aug 8;12(8):e230343. doi: 10.1136/bcr-2019-230343. PMID: 31399415; PMCID: PMC6700565.